JUŻ DOSTĘPNA OFERTA PROFILI KLAS NA ROK 2026/27 - DZIEŃ OTWARTY 31 MARCA - ZAPRASZAMY!
Opcje widoku
Ikona powiększania tekstu
Powiększ tekst
Ikona pomniejszania tekstu
Pomniejsz tekst
Ikona zmiany kontrastu
Kontrast
Ikona podkreślenie linków
Podkreślenie linków
Odnośnik do Deklaracja Dostępności
Deklaracja Dostępności
Resetowanie ustawień
Reset

Biologia w 1A

Biologia w 1A

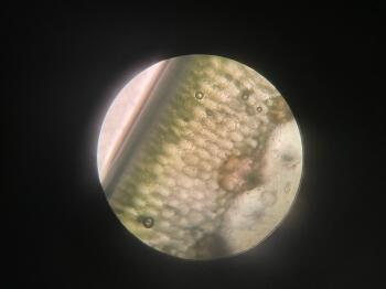
Niedawno klasa humanistyczna 1A mikroskopowała na lekcji biologii. Mam nadzieję, że dzięki oglądaniu preparatów z liścia aloesu, ponownie uzyskaliście dowody na temat komórkowej teorii organizmów :-)
Części z Was udało się zrobić interesujące zdjęcia obrazów mikroskopowych. Kto wie, może w przyszłości zajmiecie się mikrofotografią użytkową albo artystyczną.

Data dodania: 2021-09-23 21:36:37
Data edycji: 2021-09-23 21:38:32
Ilość wyświetleń: 841

Projekty

Projekt „Kompleksowa modernizacja energetyczna budynków użyteczności publicznej w Sopocie”
Więcej informacji

Ankiety

Weź udział w jednej z ankiet szkolnych! Twoja opinia jest ważna!
Więcej informacji

Kalendarz

Klasy

Przejdź na stronę swojej klasy zobacz najnowsze wpisy i bądź na bieżąco!
Więcej informacji
Bądź z nami
Aktualności i informacje
Biuletynu Informacji Publicznej
Logo Facebook
Facebook
Biuletynu Informacji Publicznej